블로그
로그인

전화상담
02.549.2500

평일
10:00 ~ 19:00

토요일(주간)
10:00 ~ 16:00

점심시간
13:00 ~ 14:00

일요일·공휴일 휴진

진료상담: 02)549-2500

상담: 02)549-2500

네이버 블로그 네이버 블로그

평일 : 10:00 ~ 19:00

토요일(주간) : 10:00 ~ 16:00

점심시간 : 13:00 ~ 14:00

일요일·공휴일 휴진

1DAY 라미네이트

일상생활의 불편함 없이,
3 ~ 4시간만에 라미네이트 완성!

1day 라미네이트 재치료

루체는다르다

1day 라미네이트 재치료

  • 시술결과가 맘에 안드시나요?

    • Before
    • After
    [하루 완성으로 시술 / 치료 당일 전, 후]
    ※ 개인에 따라 치료기간이 달라질 수 있으며, 시술 후 시림, 잇몸염증, 출혈 등의 문제가 발생할 수도 있습니다.

    루체치과에서 충분히 재상담 받아보신 후 하루만에 재치료가 가능합니다.
    맘에 들지 않는 부분을 환자분과 상의 하에 맞춤 디자인으로 진행 해드립니다. 또한 붙이기 전에 충분히 보신 후 환자분의 동의하에 붙이므로 걱정안하셔도 됩니다.

  • 예전에 치료받았는데 변색이 되었나요?

    • Before
    • After
    [하루 완성으로 시술 / 치료 당일 전, 후]
    ※ 개인에 따라 치료기간이 달라질 수 있으며, 시술 후 시림, 잇몸염증, 출혈 등의 문제가 발생할 수도 있습니다.

    · 신경치료가 된 치아는 탈수 및 신경관 충전재 등에 의해 변색이 일어날수 있습니다.
    · 기존의 라미네이트(올세라믹)을 제거후 변색된치아에 차단제로 커버 후 재제작 합니다.
    · 오래된 앞니 보철 자체의 금속이 비쳐서 검게 보이는 경우 교체만으로도 변색이 해소되는 경우도 있습니다.

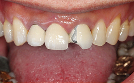
  • 치료받은 라미네이트가 깨졌다면요?

    • Before
    • After
    [하루 완성으로 시술 / 치료 당일 전, 후]
    ※ 개인에 따라 치료기간이 달라질 수 있으며, 시술 후 시림, 잇몸염증, 출혈 등의 문제가 발생할 수도 있습니다.

    하루만에 주변 치아에 맞게 모양을 복구하여 제작가능합니다.
    전체적인 재치료도 가능하지만 꼭 필요한 곳에 최소한의 치료도 가능합니다.

  • 최신 트렌드에 맞는 디자인을 원한다면요?

    • Before
    • After
    [하루 완성으로 시술 / 치료 당일 전, 후]
    ※ 개인에 따라 치료기간이 달라질 수 있으며, 시술 후 시림, 잇몸염증, 출혈 등의 문제가 발생할 수도 있습니다.

    - 환자분의 피부톤 얼굴형 치아크기에 맞게 맞춤제작을 해 드립니다.
    - 예전에는 나머지 치아에 전체적인 느낌을 통일시켰지만 현재는 원하는 느낌으로 전체적인 변화를 줄 수 있습니다.

  • 관리가 안되거나 변형이 와서 잇몸에 염증이 생겼다면요?

    • Before
    • After
    [하루 완성으로 시술 / 치료 당일 전, 후]
    ※ 개인에 따라 치료기간이 달라질 수 있으며, 시술 후 시림, 잇몸염증, 출혈 등의 문제가 발생할 수도 있습니다.

    - 라미네이트의 디자인이 치아의 경계부위에 맞게 제작되지 않았을 경우
    - 양치질과 치실사용 등의 잇몸관리가 잘 되지 않을경우 잇몸이 붓는 등의 염증증상이 생길수 있습니다.

  • 예전에 받은 레진치료, 주변으로 또 충치가 생겼나요?

    • Before
    • After
    [하루 완성으로 시술 / 치료 당일 전, 후]
    ※ 개인에 따라 치료기간이 달라질 수 있으며, 시술 후 시림, 잇몸염증, 출혈 등의 문제가 발생할 수도 있습니다.

    치아의 표면을 다듬는 수준의 삭제를 통하여 라미네이트를 진행하면 충치치료는 물론 변색된 흔적을 없앨 수 있습니다.

다양한 이유로 라미네이트 재치료가 필요할 수 있습니다.

재치료를 원하시는분들의 NEEDS를 정확하게 파악하여 맞춤 디자인으로 진행하고 있습니다.

TOP