일상생활의 불편함 없이,
3 ~ 4시간만에 라미네이트 완성!
일반적인 치아성형 치료법은 1-2주일 이라는 오랜 시간이 필요했습니다. 먼저 치아를 삭제하고 이를 기공소로 보내어 기공물을 받는데 최소 1주일이 걸립니다.
환자는 1주일 동안 임시치아를하고 있어야 하기 때문에 일상 생활에 불편함을느낍니다.
루체치과는 컴퓨터 세렉(CEREC) 시스템을 보유하여 3D카메라로 치아를 촬영한 즉시 컴퓨터로 디자인하고 밀링을 하기 때문에 기공소에 보내는 불편함이 없어 3~4시간에 라미네이트 완성이 가능합니다.






기존의 치료방법에 비해 오차범위가 적고, 보다 정밀하게 제작됩니다. 치료기간 동안 임시치아를 해야하는 번거로움 없이 당일에 라미네이트 완성이 가능합니다.


라미네이트- 무서워서 망설이셨나요?
루체치과의 “수면마취시스템"과 함께하세요!
진정수준의 가벼운 수면상태를 유도하여 치료 시 편안하게 라미네이트 시술을 받으실 수 있습니다.

상담 및 계획수립

정밀 진단 및 WAX-UP

치아삭제 진행

CEREC을 이용한
1:1 맞춤디자인 진행

라미네이트 제작 및
표면광택 작업

1DAY 라미네이트 완성
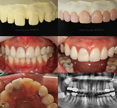
[하루 완성으로 시술 / 치료 당일 전, 후]
※ 개인에 따라 치료기간이 달라질 수 있으며, 시술 후 시림, 잇몸염증, 출혈 등의 문제가 발생할 수도 있습니다.